FIT-Slider1.jpg
FIT-Slider2.jpg
FIT-Slider3.jpg
FIT-Slider1.jpg
FIT-Slider2.jpg
FIT-Slider3.jpg

Introducerer FIT Facader

Tandregulering, tandblegning og genopbygning

Facadeløsning med lag-på-lag-injektion

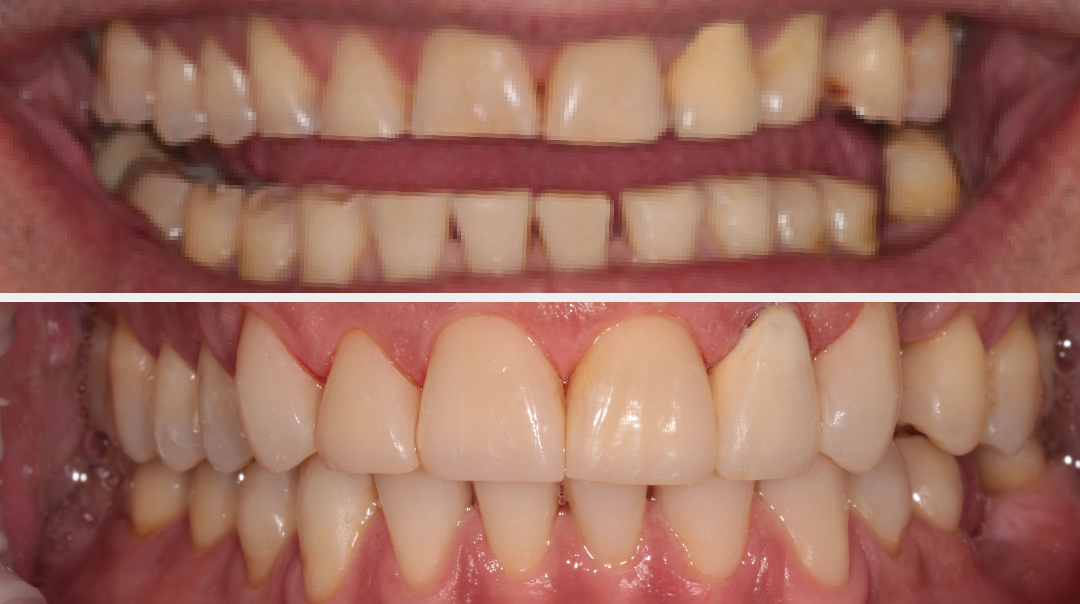
FIT Facader er den nyeste tilføjelse til vores Forma Injektion Teknik-familie. Denne videreudvikling af den traditionelle FIT Slid gør det muligt at fremstille lagdelte injicerede facader ved hjælp af FIT-injektionsskinner. Sammenlignet med traditionelle keramiske facader forenkler denne teknik arbejdsgangen og gør den mere omkostningseffektiv, samtidig med at den leverer et naturtro resultat.

HVAD ER FIT FACADER?

FIT FACADER er en direkte facadeløsning, der giver mulighed for at lave injektioner i forskellige lag, der nøje efterligner tændernes naturlige opbygning. Metoden gør det muligt først at injicere en dentinkerne i en dentinfarve efterfulgt af et emaljelag.

 

HVORFOR FIT FACADER?
I modsætning til traditionelle keramiske facader kræver FIT Facader ikke komplicerede præparations- og cementeringsprocesser. FIT Facader er et prisvenligt alternativ, ideelt til patienter, der søger en billigere løsning, eller hvis de behandlede tænder har nedsat levetidsprognose.

 

LAG-DELT INJEKTION – KONCEPT:

1. Første injektion: Opbygning af dentin og mameloner, hvilket skaber mere volumen cervikalt og mindre mod de incisale mameloner.

2. Anden Injektion: Opbygning af emalje, der dækker hele den vestibulære overflade med varierende tykkelse for at afspejle den naturlige tandstruktur.

ALT-I-ÉN-PAKKELØSNING

FIT Facader er en minimalt invasiv tilgang. Den bevarer emaljen og opretholder det naturlige udseende og funktion, hvilket giver bedre og mere holdbare resultater.

Med vores FIT-pakke får du fordelene ved en one-stop-shopoplevelse,
da vi tilbyder en ALT-I-EN-LØSNING, der indeholder alle de nødvendige materialer.

FIT FACADER ARBEJDSGANG

KLINISK CASE

MINIMALT INVASIV:

Den minimalt invasive tilgang sigter mod at bevare emaljen samt opretholde et naturligt udseende
og naturlig funktion, hvilket giver bedre og mere holdbare resultater. Vi støtter denne tilgang og anbefaler derfor Forma® Injektion Teknik for at reducere fjernelsen af sund emalje.

ALT-I-ÉN PAKKE:

Med vores FIT-pakke får du fordelene ved en one-stop-shopoplevelse, da vi tilbyder en ALT-I-EN-LØSNING, der indeholder alle de materialer, der er nødvendige for denne behandling.

SIMPEL & HURTIG:

Med FIT bevares emaljen i størst muligt omfang, hvilket sparer tid både i forhold til præparation og eventuelle provisorier. Den digitale arbejdsgang på produktionssiden sikrer, at injektionsskinnerne præcist matcher det godkendte smile design, hvilket bidrager til et optimalt
slutresultat.

HANDS ON-KURSER

HANDS ON KURSER

Hos Elysee Dental tilbyder vi vejledning fra start til slut. Vi afholder løbende hands on-kurser om FIT.

Hør om Forma Injektion Teknik fra tandlægens perspektiv: Hør tandlæge Mathias Hauberg og produktchef Rikke Kjøge fortælle om FIT-konceptet, prøv kræfter med behandlingen via hands-on-øvelser (lav genopbygninger af 4 tænder i fronten og 4 tænder i sideregionen), og se nogle af de mange slidcases Mathias har fra sin hverdag hos Tandlægerne Kold i Herning.

Mathias deler ud af tips og tricks fra tandlægens perspektiv. Han forklarer, hvad du bør være særligt opmærksom på, når du laver en bidhævning eller en svær eller let slidcase. Få indblik i, hvordan han bruger Smiledesign som et kommunikationsredskab og designprogram både over for patienten og laboratoriet.

BROCHURE

For detaljeret information om Forma® Injektion Teknik kan du læse FIT-brochuren, som kan downloades via linket nedenfor.

 FORMA® INJEKTION TEKNIK
Alt-i-én-løsningen til tandslid og facader

F.I.T.-8 dk
Slider_FIT_Before-after-2-1.png
Slider_FIT_Before-after-3-1.png
F.I.T.-8 dk
Slider_FIT_Before-after-2-1.png
Slider_FIT_Before-after-3-1.png

Forma® Injektion Teknik (F.I.T.)

Tandregulering, tandblegning og genopbygning

En unik løsning til behandling af tandslid.

Se også vores FIT Slid-løsning: Traditionelle behandlinger af tandslid kræver nogle gange præparation og er ikke et hensigtsmæssigt valg for alle patienter. Forma® Injektion Teknik er et minimalt invasivt alternativ. Med FIT anvendes en flydende resin-hybridkomposit til injicering i individuelt designede skinner for at opnå den bedste og langsigtede restaurering.

Kompositmaterialer har gennemgået en stor udvikling, som har resulteret i optimering af både æstetiske og fysiske egenskaber. I dag anvendes kompositter med en flydende, injicerbar konsistens, der via nanoteknologi har samme fysiske egenskaber som pastakompositter. Disse injicerbare kompositter er slidstærke, har en passende viskositet med lille krympning og god glansbevarelse. Med andre ord: disse kompositter kan bruges som en langsigtet eller endelig restaurering.

Den største fordel ved denne teknik er, at restaureringer først designes ved hjælp af Exocad (digitalt smile designsoftware), som derefter kopieres og overføres præcist til patientens tænder igennem FIT-injektionsskinnerne. Selv ved komplekse morfologier, udfordrende æstetiske tilfælde eller tilfælde, der kræver reetablering af det okklusale bid, kan man opnå et forudsigeligt resultat og reducere tiden i stolen med denne relativt enkle procedure

VORES FIT-LØSNING TALER IND I DEN MINIMALT INVASIVE TANKEGANG

OG ER ET OPLAGT VALG I FORBINDELSE MED LETTERE TANDREGULERING MED GENNEMSIGTIGE SKINNER

 

HVORFOR FOKUSERE PÃ… MINIMAL INVASIVITET?

Ved at fokusere på bevarelse af sund emalje, et naturligt udseende og opretholdelse af funktion opnår man et mere holdbart resultat. FIT er en minimalt invasiv behandling, der ofte ikke kræver nogen form for præparering og dermed har mindst mulig biologisk belastning.

Afbeelding1-2.png
TrioClear_Slider_2-1-scaled.jpg
TrioClear_Slider_3-1-scaled.jpg
TrioClear_Slider_7-1-scaled.jpg
TrioClear_Slider_6-2-scaled.jpg
TrioClear_Slider_5-1-scaled.jpg
Afbeelding1-2.png
TrioClear_Slider_2-1-scaled.jpg
TrioClear_Slider_3-1-scaled.jpg
TrioClear_Slider_7-1-scaled.jpg
TrioClear_Slider_6-2-scaled.jpg
TrioClear_Slider_5-1-scaled.jpg

FIND Ã…RSAGEN TIL SLIDET – INDEN DU BEHANDLER

Tandregulering, tandblegning og genopbygning

Det er altid en fordel at overveje, om patientens slid kan årsagsbehandles, inden den restorative behandling påbegyndes. Hvis sliddet skyldes malokklusion, kan en let tandregulering være en oplagt løsning for at forbedre de funktionelle forhold. Hos Elysee Dental anbefaler vi tandregulering med gennemsigtige skinner, da det er en diskret og effektiv behandlingsform, som alle tandlæger kan anvende. Vi anbefaler TrioClear®-alignere, og vores danske team tilbyder gratis undervisning og support, så du bliver godt klædt på til at kunne tilbyde denne behandlingsmulighed på din klinik.

HVORFOR VÆLGE OS?

Hos Elysee Dental tilbyder vi vejledning fra start til slut. Vi afholder løbende hands on-kurser, både om Forma® Injektion Teknik, TrioClear® og meget andet.

Vores danske supportteam af tandteknikere, tandplejere og klinikassistenter, er altid klar til hjælpe og vejlede.

Ring 73 404 404 eller skriv til info@elysee-dental.dk